Virtual Consult
Elevate Your Smile From Anywhere

Start your Smile Journey
from anywhere
At SMILE-FX, we make orthodontic care flexible, fast, and easy, starting with a virtual consult you can complete from your phone or laptop. Whether you’re at school, work, or just relaxing at home, you can get a personalized smile plan in just a few clicks.
Step 1
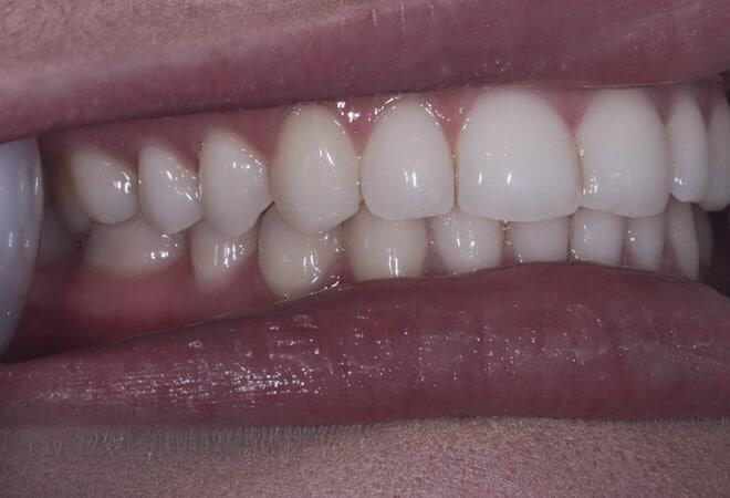
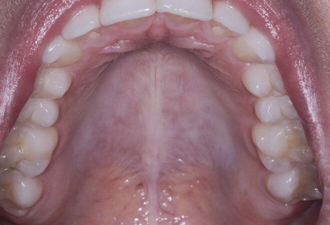
With your smartphone and someone to help you, replicate these 8 photos below. The better the picture you send, the more we can see and discuss!
Need Help Taking Photos?
Try to make sure that the room is well lit for the best quality photos.
A good way to help retract your cheeks away from your teeth during the photos is for you to hold your cheeks with 2 spoons, while your friend or family member takes the photos for you.
Step 2
Fill out the form! Our team will assess your smile and let you know if treatment is right for you.